歯周病の原因と放置するリスク!予防する方法も
2026年2月12日
こんにちは。港区南青山、東京メトロ「外苑前駅」より徒歩4分にある歯医者「エストデンタルケア南青山」です。

「歯ぐきが腫れている」「最近歯磨きをすると出血する」といった症状にお悩みの方もいるかもしれません。実は、こういった症状は歯周病の前兆の可能性があります。
歯周病は、自覚症状が少ないまま進行しやすく、気づいたときには歯を失うリスクが高まっていることも少なくありません。
今回は、歯周病の主な原因、放置した場合のリスク、そして自宅や歯科医院でできる予防法について詳しく解説します。歯周病にお悩みの方や、予防したいとお考えの方は、ぜひ参考にしてください。
歯周病とは

歯周病とは、口腔内の細菌が歯ぐきや歯を支える骨に感染し、炎症を引き起こすことで進行する疾患です。初期段階では歯肉炎から始まり、放置すると歯周炎に進行して歯を支える組織が破壊され、最終的には歯が抜けることもあります。
歯周病の症状
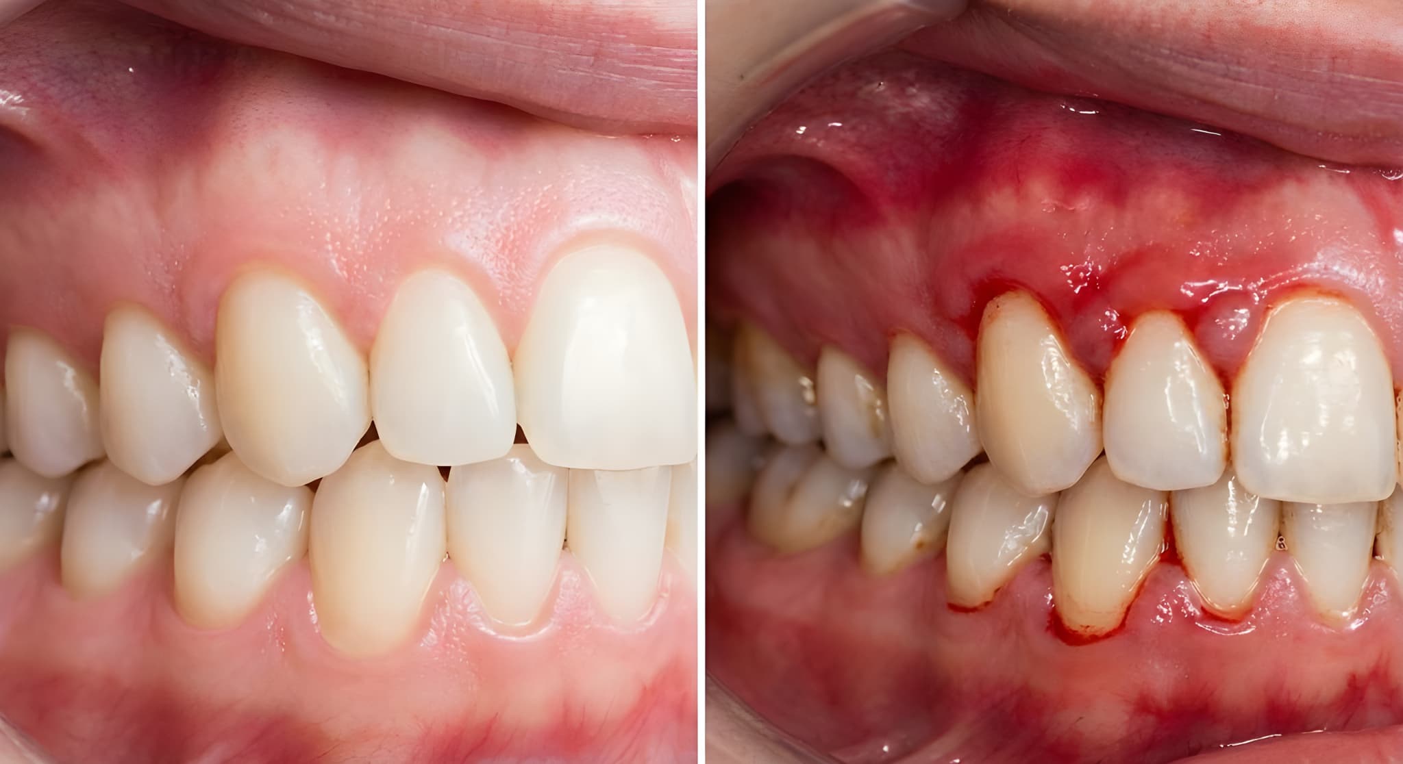
歯周病の主な症状は、歯磨き時の出血、歯肉の腫れや赤み、口臭、歯のぐらつき、歯肉の後退、噛むと痛い、膿が出るなどです。初期段階(歯肉炎)では歯茎が赤く腫れ、歯茎の先が丸く膨れる、歯と歯茎の境目が不明瞭になる、歯茎の色が暗赤色や紫色になるなどの変化が見られます。
進行すると冷たいものがしみる、歯茎が腫れたり引いたりを繰り返す、歯が長く見え歯と歯の間が広がる、口のねばつきなどが現れるでしょう。重度では歯槽骨の破壊が進み、歯が明らかに動揺し硬いものが噛みにくい状態になってしまうケースもあります。
歯周病の進行段階
歯周病は、主に4つの段階に分類されます。
まず初期段階を歯肉炎と呼び、歯ぐきが赤く腫れたり、歯みがきの際に出血したりする症状が現れます。この段階では、歯ぐきの炎症だけで、歯を支える骨にはまだ影響が及んでいません。適切なケアを行えば、改善が見込めます。
適切なケアが行われず進行すると、軽度歯周炎になります。炎症が歯ぐきの奥にまで進行し、歯を支える骨の一部が溶け始めます。この段階では、歯ぐきの腫れや出血に加え、歯と歯ぐきの間の歯周ポケットと呼ばれるすき間が深くなっていきます。
さらに進むと中等度歯周炎となり、歯を支える骨の破壊がより深刻になります。歯ぐきが下がって歯が長く見えるようになったり、歯がグラつくようになったりすることがあります。また、口臭が強くなる場合もあります。
重度歯周炎にまで進行すると、顎の骨の大部分が破壊されて歯の動揺がひどくなり、噛むことが難しくなることがあります。最終的には歯が自然に抜け落ちる可能性もあります。
歯周病の原因

歯周病の進行を食い止めるには、原因を正しく理解しておくことが大切です。ここでは、歯周病の原因を解説していきます。
歯垢と歯石の蓄積
歯垢(プラーク)は歯の表面や歯ぐきの境目に付着する細菌の塊で、歯周病の最大の原因です。これが蓄積すると歯ぐきに炎症を引き起こし、腫れや出血、歯周ポケットの深化を招きます。
時間が経つと唾液中のカルシウム分により硬化し、歯石となります。歯石は歯磨きで除去できず、表面のザラザラした凹凸が新たな歯垢の付着を促進し、細菌の温床となります。これにより慢性的な炎症が持続し、歯を支える骨の破壊を加速させます。
不十分な口腔ケア
最も大きな原因のひとつが、日常的な口腔ケアの不十分さです。歯垢(プラーク)は細菌の塊で、歯と歯ぐきの境目や歯間に残ったプラークが炎症の引き金となります。特に、歯磨きの際に歯ぐきとの境目を意識せず磨いていると、プラークを効果的に除去できません。
歯間ブラシやフロスを使わずにいると、歯と歯の間にプラークが留まり、炎症を起こしやすくなります。さらに、定期的に歯科医院でクリーニングを受けていないと、歯石が蓄積し、歯周病の進行を助長します。
喫煙
喫煙は歯周病の最大の危険因子の一つです。非喫煙者に比べて歯周病のリスクが高くなり、重症化しやすいことがわかっています。
主な原因は、ニコチンによる血管収縮・免疫機能低下・ヤニやタールの付着です。これにより、歯ぐきの炎症が進行し、出血症状が目立たず発見が遅れることもあります。
歯並びの乱れ
歯並びが乱れていると歯科ブラシが届きにくい部分が多くなり、プラークが蓄積しやすくなります。また、噛み合わせの不正も歯周組織に過度な負担をかけ、炎症を進行させる要因になります。
ストレスと生活習慣
ストレスが歯周病に与える影響は軽視できません。慢性的なストレスは、歯周病の発症や悪化を助長します。ストレスは免疫機能を低下させるため、歯周病菌に対する抵抗力が弱まるのです。
また、ストレスにより交感神経が優位になると、唾液の分泌量が減少し、口腔内が乾燥して細菌が繁殖しやすくなります。さらに、ストレスは無意識の歯ぎしりや食いしばりを引き起こし、歯と歯ぐきに過剰な負担をかけることで歯周病を悪化させます。
歯周病を放置するリスク

歯周病を放置すると、歯にさまざまな悪影響を与えるだけではなく、全身疾患のリスクを高める原因にもなります。口内に関するリスクとしては、以下が挙げられます。
- 歯ぐきの腫れと出血が慢性化する
- 歯槽骨の破壊が進む
- 歯がぐらつく・脱落するリスク増加
- 噛み合わせが悪化していく
- 強い口臭が発生する
続いて、全身へのリスクについてみていきましょう。
- 糖尿病の発症・悪化につながる
- 心血管疾患(心筋梗塞・狭心症など)のリスク増加
- 脳梗塞・脳卒中のリスク増加
- 誤嚥性肺炎のリスク増加
- アルツハイマー型認知症のリスク増加
歯周病を予防する方法

歯周病は、日々の積み重ねによって予防できる病気です。正しいケアと生活習慣を意識することで、発症や進行を抑えられるのです。
ここでは、歯周病を予防するための具体的な方法を紹介します。
正しい歯磨き方法を実践する
歯周病予防の基本は、毎日の歯磨きです。歯ブラシは軽く握り、毛先を歯と歯ぐきの境目に45度の角度で当てて小刻みに動かします。1本あたり10回以上のストロークを意識し、噛む面や歯の裏まで丁寧に磨きましょう。目安は1日2回、各2〜3分以上です。
歯間ブラシやフロスを併用し、使用後は丁寧に洗浄し、乾燥した場所に保管しましょう。歯ブラシは1か月で交換し、毛先が開いたら早めに替えることも大切です。
食生活を見直す
食生活を見直すことも、歯周病予防に直結します。
ビタミンCは、歯ぐきの修復や強化、免疫力向上に欠かせない栄養素です。いちご、キウイ、ブロッコリー、ピーマンなどに多く含まれているため、食事に積極的に取り入れることで歯周組織の健康を保てます。
ビタミンE(ナッツ類、かぼちゃ)やビタミンD(魚類、きのこ)も、炎症を抑え、骨を強化する働きがあり、歯周病の進行を抑える効果が期待されます。食物繊維を多く含む野菜(ごぼう、にんじん、キャベツ)、海藻、玄米、きのこ類は、噛む回数を増やすことで唾液の分泌を促し、口腔内の自浄作用を高めます。
禁煙する
禁煙は歯周病の予防・治療において最も効果的な対策の一つです。喫煙によって悪化していた口腔内環境は、禁煙により段階的に改善されます。禁煙後2~4週間で血管の収縮が緩和され、歯ぐきの血流が回復し、赤み・腫れ・出血といった炎症症状が改善され流とされています。
禁煙と並行して、正しい歯磨きや定期的な歯科検診を実践することで、歯周病予防がより効果的になります。
ストレスを軽減する
ストレスがたまると自律神経のバランスが崩れ、免疫力の低下や唾液の分泌量の減少を招き、歯周病のリスクが高まります。さらに、ストレスは歯ぎしりや食いしばりの原因にもなり、歯や歯茎に余計な負担をかける可能性があります。
歯周病を予防するためには、ストレスを上手に発散することが大切です。適度な運動や趣味の時間を設ける、十分な休養をとるなど、心と体の健康を保つ習慣が歯周病の予防にもつながります。
定期的に歯科検診を受ける
歯周病は初期段階では自覚症状が少なく、自分では気づかないうちに進行しているケースが多い病気です。そのため、定期的に歯科検診を受けることが非常に重要です。
一般的には3〜6か月に一度の頻度で歯科医院を受診し、歯ぐきの状態やプラークの付着、歯周ポケットの深さなどをチェックしてもらうことが推奨されています。
歯科検診では、虫歯や歯周病の有無を確認するだけでなく、専用器具を用いたプロフェッショナルクリーニングによって、日常のブラッシングでは取りきれないプラークや歯石を取り除いてもらえます。こうした処置は、歯周病のリスクを大幅に減らす効果があり、歯の健康寿命を延ばすポイントです。
まとめ

歯周病は、歯や歯ぐきの健康を損なうだけでなく、全身の健康にも深刻な影響を及ぼす可能性のある病気です。放置すると歯の喪失や口臭、さらには糖尿病や心疾患、脳卒中などのリスクを高めることがわかっています。
しかし、歯周病は日常の正しい口腔ケアや生活習慣の見直し、定期的な歯科検診によって予防できる病気です。特に歯間ケアや禁煙、ストレス管理は効果的な対策といえます。
歯周病の治療を検討されている方は、港区南青山、東京メトロ「外苑前駅」より徒歩4分にある歯医者「エストデンタルケア南青山」にお気軽にご相談ください。
当院では、院長が全ての患者さんを対応するなど、患者さんの悩みに本気で向き合っています。歯を守りたい、芸能人のような歯にしたい、他院で断られたなどのお悩みを抱えている方はぜひご連絡ください。


MAIL相談





